Accessible Version
Eagle Mountain Family Dental
Darin Bateman, DMD

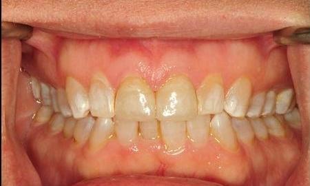
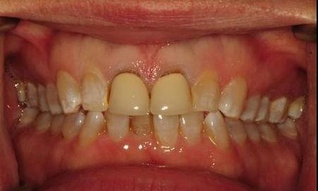
Old Opaque, Fake Looking Crowns To New, Natural Looking Crowns

This patient was tired of looking like she had two fake front teeth. Thanks to careful design and attention to detail (and emax all porcelain crowns), we were able to restore her back to a natural looking smile.

Related Services:

Crowns and Bridges

Service Performed By:

Dr. Darin Bateman
Improve your smile today – call to schedule a consultation!
If you have difficulty using our website, please email us or call us at (817) 444-3890
View the ADA Accessibility Statement
Privacy Policy