Accessible Version
Eagle Mountain Family Dental
Darin Bateman, DMD
Eagle Mountain Family Dental
Darin Bateman, DMD
Request an Appointment
Like us on Facebook
Visit us on Yelp
Watch our Youtube Videos
Leave a Google Review
(817) 270-4746 or
(817) 444-3890
General and Aesthetic Dentistry
116 Denver Trail., Azle, TX 76020
Patient Portal Login
Home
About
Our Team
Technology
Office Pictures
Services
View All
Anxiety-Free Dentistry
Clear Aligners
Cosmetic Dentistry
Crowns and Bridges
Dental Implants
Emergency Dental Care
Full & Partial Dentures
General Dentistry
Periodontal Disease Treatment
Preventive Dentistry
Root Canals
Tooth Extractions
Smile Gallery
Testimonials
Patient Info
View Patient Info
Your First Visit
Forms
Financial
Special
FAQs
Contact
Eagle Mountain Family Dental
>
Smile Gallery
>
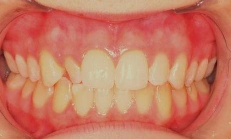
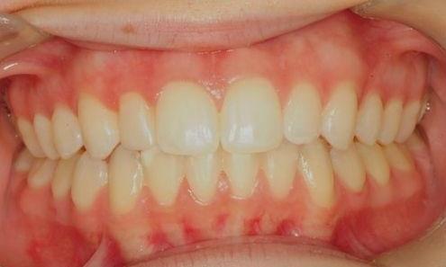
Direct Composite Veneer
Direct Composite Veneer
Return to Smile Gallery
Previous
Next
This is a conservative bonding technique for a peg lateral incisor after orthodontic treatment.
Related Services:
Cosmetic Dentistry
Service Performed By:
Dr. Darin Bateman
Click image to see a larger picture
Before
After
Ready to book an appointment?
Schedule Now
If you have difficulty using our website, please
email us
or call us at
(817) 444-3890
View the
ADA Accessibility Statement
Turn on ADA Views
Privacy Policy
OK!
×
×
Contact Us Today
Give Us A Call
Eagle Mountain Family Dental -
(817) 444-3890
Send Us an Email
Book Online
Contact Us
Ready to Schedule an Appointment?
Book Online
Have Questions? Contact Us:
Required Field
Your Name:
Phone:
Email:
Are you a new patient?:
Are you a?
New Patient
Current Patient
How would you like us to contact you?
Please choose
Email
Call
How did you hear about us?
Please choose
I'm an existing patient
Google/Bing
Mailer
Word of mouth
Social media
Other
Who Referred You?:
Appointment Preferences
Monday
Tuesday
Wednesday
Thursday
Your Message:
This site is protected by reCAPTCHA and the Google
Privacy Policy
and
Terms of Service
apply.
Sending...
×
This Patient's Experience
Loading Testimonial...
Loading Case...