Accessible Version
Eagle Mountain Family Dental
Darin Bateman, DMD

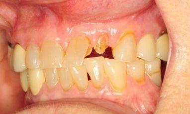
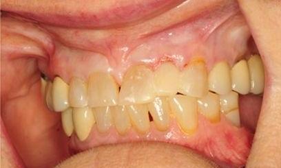
Direct Bonded Composite Temporary Bridge

This patient broke a couple teeth and needed an affordable immediate fix to get her by till she could get the definitive work completed. 

Related Services:

Emergency Dental Care

Service Performed By:

Dr. Darin Bateman
Ready to book an appointment?
If you have difficulty using our website, please email us or call us at (817) 444-3890
View the ADA Accessibility Statement
Privacy Policy